More than 200 people ill from parasite in Del Monte vegetable tray recall

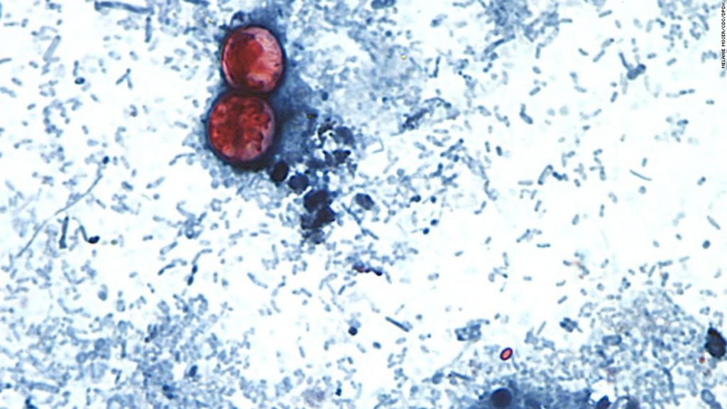
(CNN)A break out of cyclosporiasis has actually sickened 212 individuals in 4 states given that May, the United States Centers for Disease Control and Prevention stated Thursday . 7 of those people have actually been hospitalized. Michigan, Iowa, Minnesota and Wisconsin have actually all reported health problems. “The 2 cases from Michigan supposedly acquired the […]